숨케어한의원

폐섬유화증

호흡기 질환만 연구, 숨케어한의원

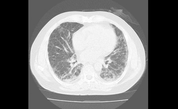
간질성폐질환에서 간질(間質)은 쉽게 말해서 폐에서 가스교환이 일어나는 장소를 말합니다.
간질성폐질환은 이러한 간질에 섬유화 소견이 보이는 질환을 말합니다.
섬유화라는 것은 딱딱해진다는 뜻으로 이해하시면 됩니다.
딱딱하게 굳어지게 되니 가스교환에 장애가 와서 호흡이 점점 힘들어지는 것이 간질성폐질환입니다.

<간질성폐질환 CT 사진>

이 간질성폐질환은 종류가 150여개나 되는데 그 중에 가장 위험한 것은 특발성폐섬유화증입니다.

원래 간질성폐질환은 드라마 소재로 한번씩 사용되었는데 특히 폐섬유증으로 유명인사가 투병했다는 이야기가 나오고, 코로나19 환자에 폐섬유증이 보인다는 뉴스가 나오면서 이전보다 많이 알려지게 되었습니다.

폐섬유화 증상은 "숨이 차다" , "기침이 난다" 가 제일 흔합니다.



그외 가래가 나올 수도 있고 가슴이 답답할 수도 있습니다만 다른 호흡기 질환과 특별히 구분되는 고유의 증상이 없기에 예사로 여기거나 감기, 기관지염, 천식 등으로 오인하다가 CT를 찍어보고 나서야 알게되는 경우가 많습니다.

요즘에는 건강검진으로 CT를 찍어보는 경우도 있기에 아무런 증상이 없는 상태에서 우연히 CT 찍어보고 나서 발견되는 경우도 있습니다.
양방에서 하는 통상적인 치료는 피레스파(피르페니돈), 오페브(닌테다닙) 이렇게 두 약물이며 피레스파와 오페브와 관련한 내용은 다른 글들을 찾아보면 알 수 있기에 더 자세히 언급하지 않겠습니다.

또는 자가면역질환이 동반되면 소론도(스테로이드)를 처방하는 경우도 있습니다

그 외 폐이식 수술을 고려하는 방법도 있습니다. 폐이식은 고령이 아닌 경우 시도해볼 수 있는데 외과적인 영역이므로 여기서는 자세히 언급하지 않겠습니다.
위와 같이 치료하는 방법이나 약물, 그리고 그 효과 등을 확인하게 되면 환자나 가족분들은 절망하는 경우가 많습니다.

그만큼 폐섬유화는 치료가 힘든 질환입니다.

한약은 어떨까요?

S대병원에서 폐섬유화 원인을 설명하는 부분을 보겠습니다.

"이 병에 걸릴만한 감수성이 있는 사람에게 알 수 없는 자극이 계속 가해져서 ~ "



여기서 감수성이 있는 사람이라는 표현이 눈길을 끕니다. 감수성이라는 표현이 나오죠? 그리고 사람이라는 표현이 나오죠?

이런 부분을 조절하는 것은 치료에 도움이 될 수 있으며 이런 부분에 포커스를 두는 의학이 한의학입니다.

한의학은 원래 질병 뿐만 아니라 질병을 가지고 있는 사람에게도 관심을 두는 의학입니다. 질병과 그 질병을 가진 사람. 이 모두에 관심을 가진다는 뜻입니다.

사람에게 관심을 두기 때문에 사람마다 가지고 있는 그 차이를 찾아서 해결하려고 합니다.

그 차이를 체질이라 표현하든 소인이라 표현하든 감수성이라 표현하든, 뭐라고 표현하든 어쨌든 그 차이를 주의깊게 살펴봅니다.
알 수 없는 자극은 어떻게 해결하나요? 알려진 원인은 없나요?
가습기 살균제 사례처럼 명확하게 드러나는 경우를 제외하고는 어떤 자극인지 확인하기 힘든 경우가 많습니다. 하지만 방사선 노출, 코다론 같은 부정맥약 복용, 앵무새 접촉, 류마티스 같은 자가면역질환이 있으신 분들은 주기적으로 폐사진을 찍어보시는게 좋습니다. 그외 금연과 역류성식도염 관리가 필요하며, 화학약품에 노출되는 직업이면 안전장치를 마련하는게 좋습니다.
한약이 폐섬유증에 도움이 될 수 있나요?
논문으로 확인해보겠습니다.

한약이 폐섬유증을 억제할 수 있다는 논문(중국)

The ethical Kampo formulation Sho-seiryu-to (TJ-19) prevents bleomycin-induced pulmonary fibrosis in rats.

Yang CQ1, Sun PY, Ding DZ, Moriuchi H, Ishitsuka Y, Irikura M, Irie T.

Author information
Department of Pharmaceutical Sciences, College of Pharmacy, Yanbian University, Jilin Prov., Yanji 133000, China.
Abstract
The effects of Sho-seiryu-to (TJ-19), an ethical Kampo formulation, on bleomycin (BLM)-induced pulmonary fibrosis in rats was examined. Pulmonary fibrosis was induced by intratracheal instillation of a single dose of BLM (5 mg/kg). The TJ-19 used consisted of at least 21 constituents, as determined by three-dimensional HPLC analysis, and was administered orally twice a day at a dose of 1.5 g/kg until the end of the study period. Changes in general appearance and body weight were monitored. Twenty-eight days after BLM instillation, the animals were sacrificed and the study parameters were measured. TJ-19 attenuated the loss in body weight, increase in lung/body weight ratio and concentration of hydroxyproline and malondialdehyde in the lung tissues induced by BLM administration. TJ-19 also prevented BLM-induced fibrotic changes in the lung histology. These protective effects of TJ-19 were observed when administration was started 1 week before and simultaneously with the instillation of BLM. These results suggest that TJ-19 has prophylactic potential against BLM-induced pulmonary fibrosis, and may therefore be a promising drug candidate and medicinal resource for preventing BLM-induced and idiopathic pulmonary fibrosis
(Biol Pharm Bull. 2010;33(8):1438-42) ​​​ ​

한약이 항산화 항염증 활성을 가지고 있으며 콜라겐형성을 억제하여 폐섬유 손상을 막을 수 있다는 논문(대만)

A kampo medicine, Yin-Chiao-san, prevents bleomycin-induced pulmonary injury in rats.

Yen FL1, Wu TH, Liao CW, Lin CC.

Author information
Graduate Institute of Pharmaceutical Science, College of Pharmacy, Kaohsiung Medical University, Kaohsiung, Taiwan.
Abstract
Yin-Chiao-San (YCS), a kampo medicine, is widely used for patients with pulmonary disease and was applied for the treatment of SARS in Asia countries in 2003. For this reason, the present study investigated the preventive effect of YCS on bleomycin (BLM)-induced pulmonary fibrosis (PF) in rats. Animals were divided into four groups: (1) saline control group; (2) BLM-induced group, in which 15 mg/kg BLM was intraperitoneally injected three times per week for a period of 5 weeks; (3) BLM + vitamin E (10 mg/kg/day) as a positive group; (4) and BLM + YCS (1000 mg/kg/day). After 35 days, the rats were anesthetized, killed and then the lungs and bronchoalveolar lavage fluids (BALFs) were collected. The attenuation of pulmonary fibrosis was estimated according to the lung index, malondialdehyde (MDA), catalase (CAT), hydroxyproline (HP) and tumor necrosis factor-alpha (TNF-alpha) level in lung tissue and BALF. The serial sections of lung were stained with haematoxylin-eosin and Masson trichrome for histopathological observation of pulmonary fibrosis. The results indicated that YCS significantly reduced the lung index, MDA, HP and TNF-alpha, but YCS significantly enhanced the CAT level when compared with the BLM-induced group (p < 0.05). Additionally, the BLM group displayed severe histopathological change in the lung tissue, but YCS treatment could attenuate the BLM-induced PF. In conclusion, the results demonstrated that YCS possesses antioxidant and antiinflammatory activities and also inhibited collagen formation. Thus, YCS exhibited a preventive effect in BLM-induced PF and it is suggested that YCS may be applied to attenuate the side effects of BLM in chemotherapy
(Phytother Res. 2007 Mar;21(3):251-8.)

한약재가 폐 섬유증 관련 염증 유전자뿐만 아니라 근섬유 아세포 활성화 및 콜라겐 침착과 관련된 유전자도 조절하는 것으로 나타났다는 논문(중국)

Ability to Suppress TGF-β-Activated Myofibroblast Differentiation Distinguishes the Anti-pulmonary Fibrosis Efficacy of Two Danshen-Containing Chinese Herbal Medicine

(Prescriptions Rui Shao 1 2, Fu-Jiang Wang 1 2, Ming Lyu 1 2, Jian Yang 1 2, Peng Zhang 1 2, Yan Zhu 1 2)

Affiliations expand
PMID: 31105564 PMCID: PMC6491955 DOI: 10.3389/fphar.2019.00412
Free PMC article
Abstract
Background: Idiopathic pulmonary fibrosis (IPF) is a devastating lung disease with limited treatment options. It also leads to progressive respiratory failure, which subsequently affects the heart functionality, a pathological heart-lung interaction increasingly noticed and defined as pulmonary-heart disease (PHD). Traditional Chinese medicine (TCM) theory for treating "phlegm-stasis cementation syndrome" may suggest a possibility of treating PHD complication with Chinese medicine prescriptions previously used for cardiovascular diseases.
Methods: Here, we evaluate the efficacies of two compound Chinese medicine prescriptions, Danlou prescription (DLP) and Danhong prescription (DHP), which share a common herbal component, Salvia miltiorrhiza (Danshen), on pulmonary fibrosis. Severity grades of Bleomycin (BLM)-induced pulmonary fibrosis were assessed by micro-Computerized Tomography (μCT) in accordance with the clinical evaluation standard. Lung pathological changes and collagen deposition were investigated by histopathology. Myofibroblast differentiation was assessed by immunohistochemistry of α-SMA and TGF-β receptor type II expression in situ. Network pharmacology analysis of the drug-target interaction in IPF progression for DLP or DHP was performed using Ingenuity® Pathways Analysis (IPA) system.
Results: We show that a non-invasive μCT effectively monitor and quantify BLM-induced pulmonary fibrosis and its treatment efficacy by Chinese medicine prescription in rodents. In addition, although both containing Salvia miltiorrhiza, DLP but not DHP mitigates BLM-induced lung fibrosis by inhibiting the TGF-β signaling-activated myofibroblast differentiation and α-SMA expression in a mouse model. Core analysis by IPA revealed that DLP ingredients regulated not only pulmonary fibrosis related inflammatory genes but also genes associated with myofibroblast activation and collagen deposition.
Conclusion: This study suggests that a clinically efficacious cardiovascular Chinese herbal medicine (DLP) can be successfully repurposed to treat a lung disease in pulmonary fibrosis guided by TCM theory. Our comparative study between DLP and DHP demonstrated a critical requirement of suppressing both pro-inflammatory and pro-fibrotic pathways for the treatment of pulmonary fibrosis, supporting that a multi-component prescription capable of "removing both phlegm and blood stasis" will better achieve co-protection of heart and lung in PHD.
Keywords: Danhong prescription; Danlou prescription; idiopathic pulmonary fibrosis; myofibroblast differentiation; pulmonary-heart disease.

특발성폐섬유증과 같은 간질성폐질환은 예후가 좋지 못하다고 알려진 병입니다. 하지만 한약 치료를 통해 이 병을 극복하려는 노력이 진행되고 있습니다.

그중 하나를 소개해드리면

2018년에 중국에서 저에게 세미나 초대장이 왔습니다. 초대장을 보내준 분은 왕사평 교수입니다.
​왕사평 교수는 중국의 난치병 치료 선구자인 故이사무(리스마오)선생의 수제자이며 현재 이사무 선생의 진료실을 그대로 물려받아서 진료하는 분입니다.
이사무(리스마오)선생의 진맥법을 저에게 사사해준 인연으로 연락을 주고 받고 있는데 위챗(한국의 카카오톡 같은 것)으로 저에게 초대장을 보내 주었습니다.

제목은 '간질성폐질환을 한약으로 치료한 830케이스의 발표'입니다. 폐섬유증과 같은 간질성폐질환을 한약으로 치료한 사례를 발표하는 시간이었습니다.

세미나 내용 중 일부를 소개 합니다.

간질성폐질환의 한약치료 830케이스 연구

830케이스 환자들은 간질성폐렴, 특발성폐섬유증, 특발성기질화폐렴 등 간질성폐질환으로 진단받은 환자들입니다.

한약 치료 후 호전이 CT상으로도 확인되는 것을 보여줍니다

한약 치료 후 6분 보행검사와 폐기능검사상 호전되고 있습니다

사용한 처방들에 대한 설명입니다

이런 한약의 우수성은 어떤 한의사를 만나느냐에 따라 더욱 효과가 발휘됩니다.

아무래도 한의사도 집중해서 연구하고 치료하는 분야가 다르기 때문에 그렇습니다. 동일한 병명의 간질성폐질환(폐섬유화)이라고 하더라도 질병의 양상이 다릅니다. 특히 한약 치료는 이 점을 더욱 중시하는데 비슷해 보이는 증상 속에서도 자세히 검진하면 그 차이를 확인할 수 있습니다. 그리고 그 부분을 주목해서 접근해서 처방하게 됩니다

숨케어한의원만의 특별함

1. 오직 호흡기만 연구합니다.

오직한길 호흡기 치료 한의원

연구와 경험

숨케어한의원은 호흡기 치료를 위해 국내 명의는 물론
북경, 상해병원에서 난치성 호흡기환자 임상만 2만명에 이르는
경험을 쌓은 원장이 직접 진료하는 한의원 입니다.

2. 풍부한 경험의 한의사에게 직접.

호흡기환자 경험만 2만명에 이르는 다양한 경험을 가진 원장님께 직접 치료를 받을 수 있습니다. 원장님은 과거 본인이 가지고 있던 만성비염과 만성기침을 스스로 한약으로 고친 후 호흡기 질환에 대한 연구를 거듭하였습니다.

동의보감, 사상의학 같은 한국에서의 연구에 만족하지 않고 보다 나은 폐섬유증 치료를 위해 북경, 상해 등지에서의 병원연수를 통해 명의의 노하우와 비방을 1대1 사사를 통해 가르침 받아 치료에 활용하고 있습니다.

그렇기 때문에 숨케어한의원은 다른 사람에게 진료를 대신 맡기지 않습니다.

2014년 중국연수

북경과 상해의 호흡기 센터에 연수 다녀왔습니다.

...

북경중의병원 연수

...

북경중의병원 호흡기내과
주임교수 유웨이와

...

북경건안병원

...

북경건안병원장
씨에지증(폐암전문)과

...

북경동직문병원

...

상해용화병원연수

...

상해용화병원 호흡기내과 주임교수 장후에이용과

...

상해서광병원 호흡기내과 주임교수 황지겅과

2015년 중국연수

상해에 있는 용화병원 호흡기 센터에 연수 다녀 왔습니다.
용화병원은 상해중의학대학 부속 병원으로 국가지정 가장 높은 등급의 병원입니다.

...

상해용화병원

...

호흡기내과 주임교수 장후에이용과

...

호흡기내과 주임교수 장후에이용과

...

호흡기내과 주임교수 장후에이용과

...

호흡기 내과 의사 쉐홍하오와

...

병원장 오은근(80세)과

2018년 중국연수

난치병 치료의 대가로 손꼽이는 인물로 이사무(리스마오)선생이 있습니다.
중국 최고 의사 호칭인 국의대사(國醫大師)로 지정되었으며 현재는 수제자 왕사평 선생을 통해서 의술이 이어지고 있습니다.
그의 진료실에서 직접 사사받을 수 있는 기회를 가졌습니다.

...

이사무선생

...

왕사평선생과 (여름)

...

진료실에서(여름)

...

진료실에서(겨울)

...

진료실에서(겨울)

3. 일대일 맞춤 치료

사람마다 상황이 다르므로 처방 또한 다릅니다. 일률적인 처방을 하지 않습니다.
유해 물질로부터 손상된 폐의 정상적인 기능 회복과 염증 제어, 후유증과 합병증 예방을 통한 면역력의 개선이 이뤄집니다.

4. 진맥은 어떻게 하는가

한의사의 한의사 다움은 진맥에 있다고 할 것입니다.
故 이사무 선생은 진맥 하나로 중국정부에서 "국의대사(國醫大師)"라는 호칭을 받은 분입니다.

국의대사는 의술의 소실을 막고자 중국정부에서 그 분야 최고의 의사에게 부여하는 호칭입니다.
숨케어한의원 원장님은 직접 중국에 있는 이사무 진료실에서 진맥법을 사사 받고 이를 진료에 적용하고 있습니다. ​
이사무 선생의 진료실에서

5. 한약재 사용

항생제나 인위적인 스테로이드 성분이 전혀 없는 순수 한약재만 이용해서 처방을 합니다.
한약규격품, 안전한 한약재만을 취급합니다.​

안전한 국산 한약재

최적의 산지에서 재배되는 한약재

효능과 기원이 정확한 한약재

한의학 원전을 고증하고 본초학 교수들의 자문을 얻어 정확한 기원식물의 약재를 사용하며, 한방과학연구소의 HPLC함량 분석법에 의거하여 유효성분을 제대로 함유하는 약재를 사용합니다.

6. 치료후기

진료시간 및 예약

  • 평일오전 11시 ~ 오후 7시
  • 토요일오전 10시 ~ 오후 3시
  • 점심시간오후 1시 ~ 오후 2시
숨케어한의원은 일요일, 공휴일은 휴진입니다.

02-577-7889

숨케어한의원에서는 전화예약을 받고 있습니다. 내원시 엑스레이, CT사진, 폐기능검사지를 가지고 오시면 자세한 상담이 가능합니다.

커뮤니티

찾아오시는 길

주소: 서울시 강남구 남부순환로 359길 12 향덕빌딩3층
지하철 3호선 양재역 4번 출구에서 도보로 3~5분
1층 후문에는 전용주차장이 있습니다자세히보기